게시물 작성 테이블

교정적 공간 폐쇄 치료

2025-10-21 hit.113


교정 전, 후 옆모습 x-ray의 중첩 비교 자료입니다

공간이 폐쇄된 만큼 위, 아래 앞니에서 약간의 후방 이동이 있었고

입술도 소량의 후방 이동이 있습니다

전치간 각도가 크게 개선되고, 수평 피개가 감소하여

치료 후 미소에서 보다 세련된 인상을 줄 것입니다.



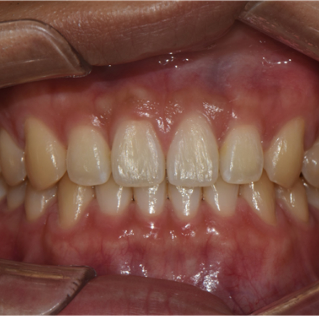
치료 전, 후 미소가 눈에 띄게 개선되었습니다

정면에서 두드러지게 보였던 정중 이개와 정중선 불일치가, 벌어진 공간이 폐쇄되고 가지런하게 배열되니 깔끔하고 정돈된 인상을 줍니다.

 

 

 

앞니의 벌어진 공간 폐쇄를 위해 라미네이트나 크라운 치료로 심미적이고 즉각적인 개선을 가져오는 경우도 있습니다

하지만 위 환자분의 경우 다른 부정교합이 있기 때문에 교정 치료 없이 심미 보철을 진행했다면, 정중선 불일치가 잔존하거나

앞니 크기가 비대칭적으로 마무리되었을 수 있습니다. 32주의 교정 치료로 자연스럽고 아름다운 미소를 회복하여 

환자분도, 의료진도 만족한 결과를 얻어 성공적인 투명 교정 치료 증례로 소개드렸습니다.

 

세심한 진단과 맞춤형 치료계획으로 예쁜 미소를 찾아드립니다! 안전한 365서울앞선치과 교정 치료 많은 관심 부탁드립니다~!!





TOP