|
돌출입, 덧니의 발치 교정 치료 증례 2026-04-02 hit.188 |
|
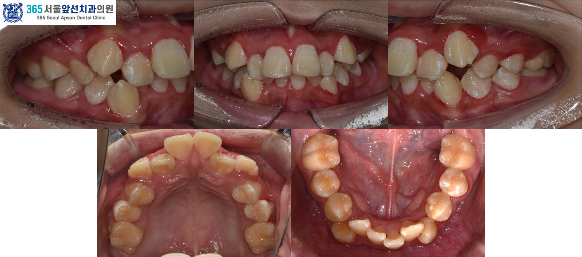
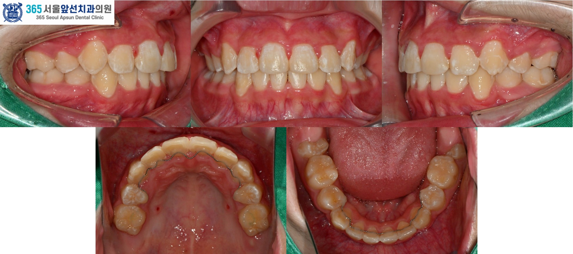
돌출입과 덧니를 고민으로 내원하신, 10대 청소년 환자 분의 증례를 소개드리겠습니다. 촬영일시 : 2024.05.21. / 2026.03.28 치료 전, 심한 공간 부족으로 송곳니 덧니와 앞니의 비뚤비뚤하게 겹친 치열이 관찰됩니다. 상악 치열의 경우 7.0mm의 공간 부족, 하악 8.5mm의 공간 부족이 있습니다. 임상적 및 방사선학적 검사 결과 위턱의 돌출과 아래턱의 후퇴를 동반한 2급 골격과, Angle씨 분류 치성 2급 부정교합 및 과도한 수직 및 수평 피개(과개교합)과 심한 총생으로 진단되었습니다. 치아 크기에 비해 악궁의 크기가 작은 부조화도 있으셔서, 비발치 교정보다는 발치 교정으로 치료하는 것이 적합합니다. 따라서, #14,24,34,44 제1소구치 치아의 발치와 전체 치열의 고정식 교정장치 치료(Clippy-C), 상악 교정용 미니임플란트를 이용한 추가적 치열의 후방이동을 계획하였습니다. 촬영일시 : 2024.05.21. 치료 후의 모습입니다. 2024년 6월 5일 치료를 개시하여 2026년 3월 28일에 교정치료를 종료하였으며 총 1년 8개월의 치료기간이 소요되었습니다. 치열이 가지런하게 배열되면서 후방이동 되어 Angle씨 분류 치성 1급 관계가 달성되었고, 얼굴형 또한 돌출입의 개선과 더불어 입술 폐쇄가 개선되었습니다.
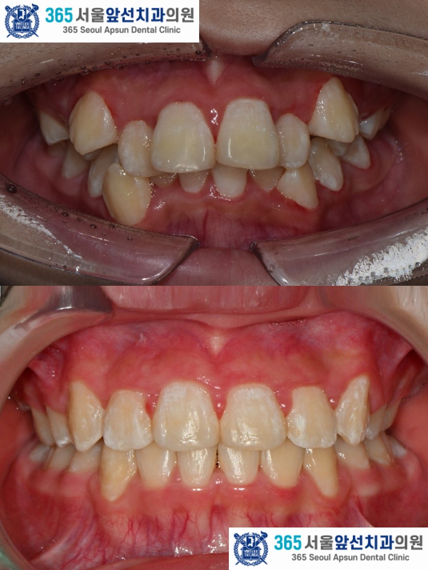
촬영일시 : 2026.03.28. 치료 전과 치료 후의 비교입니다. 돌출감이 감소하고 입술 폐쇄가 개선되어 옆모습이 크게 개선된 매우 만족스러운 치료 결과였습니다.
이상 덧니와 돌출입의 발치 교정 증례였습니다. 비뚤한 치열과 돌출입이 고민이신 환자분들께서는 365서울앞선치과로 내원하셔서 교정 검사 받아보세요.^^
촬영일시 : 2024.05.21. / 2026.03.28. [ 치료기간: 2024년 5월 21일 ~2026년 3월 28일 )] |
