365서울앞선치과
의료진 소개
임상칼럼
진료과목
특화진료소개
진료철학
둘러보기
오시는길/진료시간
의료진 소개
진료과목
특화진료소개
진료철학
둘러보기
오시는길/진료시간
로그인
|
회원가입
임상증례
임상증례
dentist story
치과진료에 대한 다양한
궁금증과 치료 연구를 위한 증례 이야기
본 컬럼은 56조 제 1항의 의료법을 준수하여 작성되었으며 실제 내원 환자분의 동의하에 공개된 치료과정의 사진이 포함되어 있습니다.
개인에 따라 진료 및 치료방법이 다르게 적용될 수 있으며, 효과와 부작용이 다르게 나타날수 있는점을 안내 드립니다.
전체
재수술 임플란트
전체 임플란트
심미보철치료
매복사랑니 발치
낭종 및 구강병소 제거
신경치료 및 재신경치료
보철 및 틀니 치료
교정치료
5
돌출입, 덧니의 발치 교정 치료 증례
돌출입과 덧니를 고민으로 내원하신, 10대 청소년 환자 분의 증례를 소개드리겠습니다.촬영일시 : ..
4
앞니 반대교합 전체 교정 치료 증례
촬영일시 : 2024.10.23. / 2025.11.12.반대로 물리는 이 때문에 입술이 비틀어져 보인다는 ..
3
덧니의 투명 교정 치료 증례
촬영일시 : 2024.11.26. / 2025.12.18.앞니의 돌출과 반대로 물리는 앞니, 송곳니 덧니를 ..
2
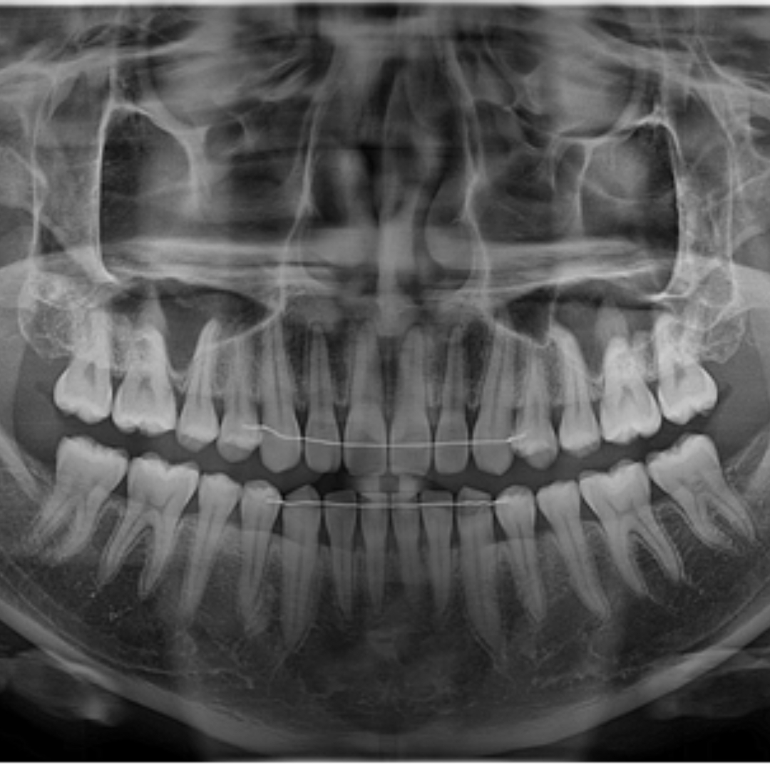
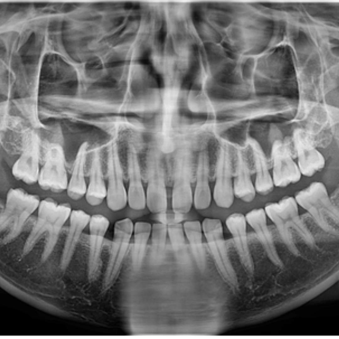
앞니 부분 교정 치료 증례
(그림1) 촬영일자 2025.02.25. / 2025.11.06.앞니의 비뚤한 치열을 고민으로 내원하신 20대 여성 환자 분의..
1
벌어진 앞니 교정치료와 교정적 공간 폐쇄 치료
2024.06.08앞니 사이 벌어진 공간과 정중선 불일치를 고민으로 내원하셨던 20대 남성 환자분입니다.  ..
1
전체
제목
내용
작성자
네이버예약
공식블로그
카카오톡상담
전화상담
032-228-2828
TOP